红斑狼疮被称“不死的癌症” 尤其偏爱女性
演员周海媚的去世让红斑狼疮再次引起人们的关注,很多人将红斑狼疮称为不死的癌症。因为这种疾病到目前为止,仍然没有根治的方法,这种疾病尤其偏爱女性,但是通过科学的正规的治疗,可以充分的控制病情。

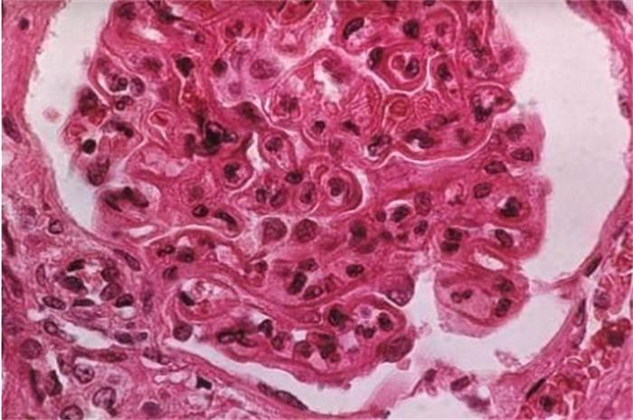
红斑狼疮属于一种免疫系统疾病,会导致心血管、肾脏、消化系统、肺、血管、眼部、血液系统等多个器官损伤。红斑狼疮最为明显的症状就是在面颊出现蝴蝶形的红斑。红斑狼疮的症状复杂多样,有的可能表现为心功能受损,有的可能表现为关节痛,还有一些人的症状是反复出现口腔溃疡,而有些人则会出现肾脏受累的临床表征,比如血尿或蛋白尿,还有可能会伴随着肾功能不全。很多人会认为是皮肤过敏,到皮肤科看,也有些人会去骨科或者是肾内科去看,但是都找不到病因。实际上红斑狼疮需要看的是风湿免疫科。

据数据显示系统性红斑狼疮的患者在我国的平均发病年龄是30.7岁,发病的男女比例是12:1。进行诊断时的平均年龄是31.6岁,其中年龄小于18岁的患者,所占的比例是4.5%。年龄在18~40岁的患者所占的比例是79.56%,充分地反映出在我国患有系统性红斑狼疮的人大部分都是青年人。而且女性患者的比例远远高于男性。

从地域分布情况上来看北部地区患上系统性红斑狼疮的人比较多所占的比例是25.03%。尤其是那些日晒时间长,当地医疗水平差,受教育水平比较低的地区,患上系统性红斑狼疮的患者比较多,而且患病程度更高。吸烟、紫外线照射都会引发红斑狼疮的复发和发病,尤其是吸烟者的病情会更加严重,发生肾损害也会更容易。










